미국 FDA 승인 장비와 마스터 의료진의 노하우로 완성된
트리니티만의 차별화된 비침습 치료 프로세스
수면 마취만으로 진행되어
신체적 부담을 최소화합니다.
피부를 절개하지 않아
미용적으로 완벽합니다.
정교한 타게팅으로
통증과 후유증을 낮췄습니다.
Precision Electrode
근종의 크기, 위치, 증상에 따라
치료법은 정교하게 달라져야 합니다.
트리니티 RFA 센터는 획일화된 시술이 아닌, 환자분의 자궁 환경을 정밀 분석하여 최적의 에너지를 조절합니다.
자궁근종·선근증으로 인한 생리과다와 빈혈을 근본적으로 해결합니다.
자궁 보존 혁신 치료 옵션
트리니티는 무조건적인 비수술을 고집하지 않습니다.
정밀 진단을 통해 환자분께 가장 이득이 되는 치료법만을 권해드립니다.
자궁이 전체적으로 커져 있고 증상을 동반한 경우, 자궁을 적출하지 않고 보존하는 최선의 대안입니다.
치료 후 2-3개월 이내 대부분의 증상이 드라마틱하게 호전됩니다.
근종의 크기가 너무 크거나 개수가 매우 많은 경우, 혹은 폐경 이후 갑자기 자라는 경우에는 수술이 필요할 수 있습니다.
자궁 외측으로 튀어나온 형태는 고주파 열전도 효율이 떨어질 수 있어 수술적 제거가 우선시됩니다.
정확한 판단을 위해 MRI 등 정밀 검사가 필수적입니다.
임신을 준비 중이라면 근종의 크기와 위치에 따라 치료 전략이 완전히 달라져야 합니다.
트리니티 RFA 센터는 가임력 보존을 위한 최적의 치료 시기와 방법을 영상학적 평가를 통해 정밀하게 설계해 드립니다.
항목을 선택하시면 산부인과 전문의 감수 알고리즘에 따른 분석 결과가 도출됩니다.
Myoma & Adenomyosis Criteria
자궁근종/선근증의 가장 대표적인 중증 신호
일상생활이 불가능한 수준의 통증은 선근증 의심 증상
거대 근종이 방광이나 주변 장기를 압박하는 현상
자궁 주변 신경 압박 및 골반 내 울혈 증상
분석을 완료하려면 최소 한 개 이상의 항목을 선택하십시오.
회복 시간
회복 시간
시술 당일 또는 다음날 즉시 복귀
RFA는 개복 없이 문제의 원인만을 열에너지로 괴사시키는 가장 진보된 치료법입니다.
"자궁절제술 이외에도 이러한 비침습적인 치료를 좀 더 적극적으로 고려할 필요가 있다."
단순히 열만 가하는 것이 아니라, 근종에 영양을 공급하는 혈관과 호르몬 수용체, 성장인자를 파괴하여 근본적인 성장을 멈추게 합니다.
괴사된 조직은 체내 면역 체계에 의해 서서히 흡수되어 배출됩니다.
크기가 현저히 줄어들며 통증, 출혈, 빈뇨 등의 증상이 사라집니다.
Scientific Simulation
화려한 이력서보다 확실한 증명은 현장에 있습니다.
수천 건의 시술 경험을 보유한 두 명의 마스터가 직접 집도합니다.
"진심과 이해를 담아 당신의 이야기를 경청하고, 여성의 마음으로 섬세하게 진료하겠습니다."
"수만 건의 임상 경험으로 증명된 실력, 결과의 차이를 만듭니다."
국내외 산부인과 전문의들에게 독자적인 시술 프로토콜 전수.
강연 및 외부활동
여성건강 출판 및 강연활동
국제적인 의료 교류
세계적 수준의 의료 교류
내 몸의 상태가 어떤지 완벽히 이해할 때까지 설명합니다.
실시간 초음파 상담
화면을 보며 직접 확인
치료 후 관리
퇴원 전까지 세심한 케어

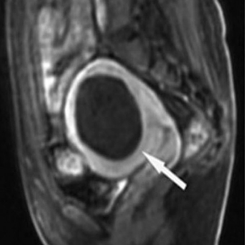
임신 준비중 발견된
9cm 거대 근종 진단

트리니티 내원
고주파용해술 시술 진행

치료 10개월 후
2cm로 부피 77% 감소
환자분들이 직접 남겨주신 정성 어린 기록은 우리의 가장 큰 자부심입니다.
"수술이 너무 무서워 1년을 고민했는데, 원장님 뵙고 확신이 생겼어요. 시술 당일 걸어서 퇴원할 때의 그 가벼운 기분은 잊지 못합니다. 지금은 배의 불편함도 싹 사라졌어요."
"미혼이라 흉터 걱정이 컸는데, 정말 흔적이 없어서 놀랐어요. 생리통도 사라지고 삶의 질이 수직 상승했습니다. 진작 할 걸 그랬어요."
당일 입원, 당일 퇴원을 원칙으로 하며
일상으로의 빠른 복귀를 최우선으로 고려합니다.
안전한 고주파 에너지 흐름을 위해 양쪽 허벅지에 패드를 부착합니다.
전신마취의 부담 없이, 진정제를 투여하여 편안한 수면 상태를 유도합니다.
고해상도 초음파를 통해 병변의 위치와 깊이를 실시간으로 파악합니다.
질을 통해 접근하므로 복부 흉터 없이 얇은 바늘 형태의 전극을 삽입합니다.
주변 장기 손상을 방지하기 위해 병변의 80~90%만 정밀하게 타격하여 안전하게 괴사를 유도합니다.
월경 과다가 동반되며 더 이상 임신 계획이 없는 경우, 생리가 만들어지는 내막을 선택적으로 파괴하여 출혈을 감소시킵니다.
환자분들이 가장 많이 궁금해하시는 질문입니다.
복부 피부를 뚫지 않고 질과 자궁경부를 통해 전극을 삽입하기 때문에 수술 대비 상처로 인한 감염이나 염증 위험이 현저히 낮습니다.
병변 크기와 개수에 따라 다르지만, 준비 시간을 제외하고 약 30분 ~ 1시간 소요됩니다.
수면마취로 시술 중 통증은 없으나, 시술 후 조직이 괴사되는 과정에서 일시적인 복부 통증이나 미열, 몸살 기운이 있을 수 있습니다. 이는 치료가 잘 되고 있다는 반응입니다.
일반적으로 당일 퇴원이 가능하며, 다음날 일상 복귀가 가능합니다.
별도의 관리는 필요 없으며, 시술 후 2, 6, 12개월차에 추적 관찰을 진행합니다.
병변만 집중 치료하므로 자궁의 정상 기능을 기대할 수 있으며 가임력을 보존합니다.
트리니티의 모든 공간은 환자분의 동선을 최우선으로 배려하여 설계되었습니다.
트리니티에 오신 것을 환영합니다.
들어오시는 순간부터 청결하고 쾌적한 환경을 약속드립니다.
전문 코디네이터의 안내로 대기 시간을 최소화합니다.
예약 확인부터 접수까지 빠르고 친절하게 도와드립니다.
진료를 기다리는 시간조차 휴식이 되도록,
넓은 좌석과 따뜻한 조명으로 안락함을 더했습니다.
단순한 문진을 넘어 환자의 삶을 이해하는 공간입니다.
1:1 프라이빗 공간에서 깊이 있는 상담이 이루어집니다.
대학병원급 하이엔드 장비로 병변을 입체적으로 분석합니다.
모니터를 함께 보며 현재 상태를 명확히 설명해 드립니다.
시술 후 호텔급 침구에서 편안하게 휴식을 취하세요.
전담 간호사가 퇴원 시까지 세심하게 케어합니다.
편안한 방문을 위해 진료 시간과 위치를 안내해 드립니다.
여성의 마음을 잘 아는
여의사 산부인과 TRINITY에서